Symptoms of Orofacial Myofunctional Disorders
There are many symptoms of a Myofunctional disorder. Below are the most common.
Mouth Breathing
One might wonder why it matters how we breathe. The truth is, our bodies were designed to breathe through our nose. The nose acts as a natural humidifier and filter to reduce the amount of allergens, dust, and foreign bodies that enter our lungs. When you breathe out through your nose, nitric oxide is released, promoting expansion of blood vessels and oxygen circulation. Mouth breathing promotes healthier oxygen intake, better body performance, decreased stress/anxiety, and better sleep. Mouth breathing can also lead to headaches, periodontal disease, bad breath, increased risk of cavities, reduced sleep quality, and digestive issues.
Further, when we breathe through our nose, it is more likely that our tongue is resting against our hard palate. This pressure on the hard palate promotes optimal mouth, jaw, and teeth development, reduces risk of temporomandibular joint issues, and reduces risk for dental crowding.
Tongue Thrust
Tongue thrust occurs when the tongue pushes through the upper and lower teeth during speech and/or during swallow. This is most likely caused by tethered oral tissues (TOTs) or improper tongue posture.
In speech, tongue thrust causes a lisp. Words containing an /s/ or /z/ with sound like a “th”. For example, “soup” will sound like “thoup”
In swallowing, the tongue will push past the teeth to position the food farther back on tongue to aid in swallow initiation.
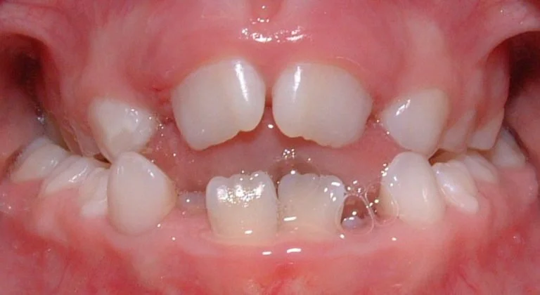
Tongue thrust can cause open bite from the constant pressure from the tongue pushing against teeth.
Further reading: Tongue Thrust information from Cincinnati Children’s Hospital
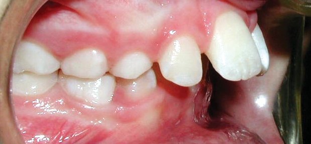
Malocclusions/Bite issues
When abnormal pressure patterns from the tongue/cheeks are placed on the palate, it can negatively alter the eruption pattern the teeth. This causes dental malocclusions and is the greatest reason for orthodontic intervention
Crossbite
Deep Bite
Protrusion
Underbite
Crowding
Noxious Oral Habits
Noxious oral habits consist of nail biting, thumb sucking, hair chewing, cheek biting, etc. These habits have a negative impact on the proper development of the oral structure. These habits also can train the tongue to rest low in the mouth resulting in high narrow palate, airway issues, malocclusions, poor sleep quality, and can promote mouth breathing.
Reduced Tongue Mobility
Reduced tongue strength or range of motion impacts a person’s ability to elevate tip of tongue and/or base of tongue. This can result is speech sound/intelligibility issues, tongue thrust in speech or swallowing, messy eating, poor dental hygiene, etc. Tethered oral tissues (TOTs) can be a major contributing factor to reduced tongue mobility.
Jaw Pain and
Temporomandibular Joint Issues
The tongue plays a major role in the stabilization of the jaw. When the tongue mobility is reduced, most likely from tethered oral tissues (TOTs), it can cause the jaw to compensate by moving in abnormal ways. This can result in teeth grinding, clenching (bruxing), abnormal wear on dentition, pain in temporomandibular joint, headaches, jaw popping, etc.
Further Reading:
Treating TMD with orofacial myofunctional therapy
Poor Quality of Sleep
Snoring can be an early sign of obstructive sleep apnea (OSA) which can cause harm to your overall health and well being. Upper Airway Resistance Syndrome (UARS) is similar to OSA, but with generally more mild symptoms and typically impact women more than men. All of these sleep issues result in the relaxation of oral tissues causing the reduction in airway. This reduction in airway can cause fatigue, headaches, mouth breathing, hyperactivity, teeth grinding, bed wetting, and more.
Myofunctional therapy can help retrain the tongue and other oral structures to rest up in the oral structure thus reducing mouth breathing which promotes greater airway space during sleep. It is always important to be evaluated by an ENT or sleep specialist if you feel you have a sleep disorder.
Further reading: The Mysterious Answer to My Unrelenting Insomnia
Orthodontic Relapse
Imagine spending all the time, effort, and energy in orthodontic treatment to get your teeth in proper alignment… and they revert back once the braces are removed. This can happen when poor oral habits are not addressed either prior to, or during orthodontic treatment. Dentition will adjust based on the pressure of the tongue, lips, and cheeks so if bad habits are not addressed, one is at risk for orthodontic relapse.

